Tại Việt Nam, ung thư phổi là loại ung thư phổ biến hàng thứ 3, chỉ đứng sau ung thư vú và ung thư gan, với khoảng 24 426 ca mắc mới, chiếm gần 13.5% tổng số ca ung thư được phát hiện mỗi năm. Vậy, ung thư phổi là gì? Dấu hiệu nhận biết của bệnh ra sao? Làm thế nào để phòng ngừa và điều trị bệnh hiệu quả? Hãy cùng Trung tâm Dinh dưỡng Nutrihome tìm hiểu ngay trong bài viết sau.

Ung thư phổi là gì? Dấu hiệu nhận biết bệnh ra sao?
Ung thư phổi là tình trạng các tế bào phát triển quá mức, tăng sinh mất kiểm soát trong các mô của phổi và tạo thành khối u. Theo thời gian, những khối u này có thể xâm nhập vào máu và hệ bạch huyết rồi di căn, làm tổn thương các tế bào khỏe mạnh ở những cơ qua khác của cơ thể.
Dấu hiệu nhận biết ung thư phổi có thể khác nhau tùy vào giai đoạn bệnh, nhưng các triệu chứng phổ biến thường bao gồm:
Ho là triệu chứng phổ biến nhất của ung thư phổi, đặc biệt là khi ho không dứt, trở nên nghiêm trọng hơn theo thời gian. Nguyên nhân có thể là do khối u phát triển trong đường hô hấp, gây kích ứng các dây thần kinh và mô xung quanh. Khi ho dai dẳng kéo dài, đặc biệt là ho ra đờm hoặc máu, đây có thể là dấu hiệu cảnh báo sớm của ung thư phổi cần được lưu tâm.
Thở khò khè xảy ra khi luồng không khí di chuyển qua đường thở bị hẹp hoặc tắc nghẽn. Khối u hoặc viêm trong phổi có thể làm hẹp đường thở, gây ra tiếng khò khè khi thở. Đối với người mắc ung thư phổi, triệu chứng này có thể trở nên nghiêm trọng hơn theo thời gian nếu không được can thiệp kịp thời.
Khó thở, hay thở dốc, là triệu chứng thường gặp khi ung thư phổi ảnh hưởng đến chức năng hô hấp. Nguyên nhân là do khối u cản trở đường thở hoặc do chất lỏng tích tụ trong phổi, gây khó khăn cho quá trình trao đổi khí. Đôi khi, đây có thể là dấu hiệu sớm của ung thư phổi nhưng dễ bị bỏ qua, đặc biệt nếu xảy ra khi cơ thể đang ngồi yên hoặc chỉ hoạt động nhẹ nhàng.
Đau tức ngực có thể xuất hiện khi khối u phát triển và chèn ép lên các mô hoặc cơ xung quanh. Cơn đau có thể âm ỉ hoặc nhói khi ho, thở sâu hoặc cười. Nguyên nhân là do sự phát triển của khối u làm ảnh hưởng đến màng phổi hoặc các dây thần kinh ở vùng ngực.

Đau tức ngực có thể là dấu hiệu cảnh báo sớm ung thư phổi
Ung thư phổi có thể gây tổn thương dây thần kinh điều khiển thanh quản, dẫn đến tình trạng khàn tiếng kéo dài mà không hồi phục, đặc biệt nếu khối u chèn ép dây thần kinh thanh quản quặt ngược. Đây là dấu hiệu ung thư phổi cần được lưu ý và kiểm tra sớm để phát hiện bệnh.
Ho ra máu là một triệu chứng nghiêm trọng của ung thư phổi, thường xuất hiện khi khối u gây tổn thương, viêm loét hoặc phá hủy các mạch máu nhỏ trong đường thở. Ho ra máu, dù là lượng nhỏ, cũng là dấu hiệu cần được thăm khám ngay lập tức để tránh bỏ lỡ chẩn đoán.
Sụt cân không rõ lý do có thể là dấu hiệu chung của nhiều loại ung thư, không riêng gì ung thư phổi. Khi bị ung thư, sụt cân xảy ra vì cơ thể không còn chuyển hóa bình thường. Đây Trong trường hợp ung thư phổi, khối u có thể tiêu tốn nhiều năng lượng hoặc gây viêm nhiễm, làm suy giảm chức năng trao đổi chất.
Ung thư phổi có thể gây đau đầu khi khối u gây áp lực lên tĩnh mạch chủ, làm cản trở lưu thông máu từ đầu xuống tim, hoặc khi ung thư đã di căn lên não. Đau đầu thường là dấu hiệu của ung thư phổi giai đoạn tiến triển, cần thăm khám kỹ lưỡng.
Bệnh nhân ung thư phổi có thể cảm thấy đau nhức cơ thể, đặc biệt ở các vùng lưng và vai. Nguyên nhân có thể là do khối u chèn ép các dây thần kinh ngoại biên hoặc do viêm nhiễm lan rộng từ phổi đến các mô xung quanh. Đây là triệu chứng không đặc trưng, nhưng thường gặp trong giai đoạn bệnh tiến triển (đã di căn).
Khi khối u phát triển gần đỉnh phổi, nó có thể gây chèn ép lên các dây thần kinh, dẫn đến đau lan xuống tay, vai và các ngón tay. Đây còn gọi là hội chứng Pancoast, một loại ung thư phổi hiếm gặp nhưng có triệu chứng rõ ràng, cần chẩn đoán sớm.
Vú to ở nam giới, hay còn gọi là chứng gynecomastia (nữ hóa tuyến vú), là tình trạng thay đổi hormone khi cơ thể phản ứng với khối u, khiến mô vú phát triển hơn thông thường. Nữ hóa tuyến vú được xem là một biểu hiện hiếm gặp của ung thư phổi, thường xảy ra ở khoảng 2.4% trường hợp mắc bệnh này.

Minh họa hình ảnh chứng gynecomastia (nữ hóa tuyến vú) ở nam bệnh nhân ung thư phổi
Ngoài các triệu chứng trên, ung thư phổi còn có thể gây sưng cổ, mặt hoặc gây nhiễm trùng phổi như viêm phế quản. Những triệu chứng này có thể bị nhầm lẫn với các bệnh lý khác, do đó, việc phát hiện và chẩn đoán sớm rất quan trọng.
Ngoài ra, nếu ung thư phổi di căn sang các bộ phận khác của cơ thể, nó có thể gây ra:
Lưu ý:
Xem thêm:
Theo Tổ chức Y tế Thế giới (WHO), nguyên nhân chính gây ung thư phổi là do hút thuốc lá, bao gồm cả hút thuốc chủ động và thụ động. Khoảng 85% các trường hợp ung thư phổi liên quan đến việc sử dụng thuốc lá, do chất hóa học trong khói thuốc gây tổn thương DNA của tế bào phổi.
Ngoài ra, tiếp xúc với khí radon, một loại khí phóng xạ tự nhiên, hoặc tiếp xúc lâu dài với các hóa chất độc hại như amiăng, khói bụi công nghiệp và ô nhiễm không khí, cũng có thể làm tăng nguy cơ mắc bệnh.
Cuối cùng, yếu tố di truyền và tuổi tác cũng đóng vai trò quan trọng, khiến nguy cơ cao hơn ở người có tiền sử gia đình mắc ung thư phổi và người lớn tuổi.
Căn cứ theo những nguyên nhân gây ung thư phổi nêu trên, có thể thấy, đối tượng dễ mắc ung thư phổi bao gồm:

Có đến 85% trường hợp ung thư phổi liên quan đến thói quen hút thuốc lá
Ung thư phổi được phân chia thành 2 nhóm lớn, đó là ung thư phổi tế bào nhỏ (SCLC) và ung thư phổi không có tế bào nhỏ (NSCLC). Cụ thể như sau:
Ung thư phổi tế bào nhỏ (small cell lung cancer – SCLC) là loại ung thư ác tính, phát triển nhanh từ các tế bào nhỏ hình tròn trong phổi. Chiếm khoảng 10-15% tổng số ca ung thư phổi, SCLC tiến triển nhanh, hung hãn và thường lan rộng (di căn) sớm. Điều trị chủ yếu là hóa trị và xạ trị, nhưng tiên lượng sống thấp hơn ung thư phổi không tế bào nhỏ do bệnh tiến triển nhanh.
Ung thư phổi không tế bào nhỏ (non-small cell lung cancer – NSCLC) là loại ung thư phổi phổ biến nhất, chiếm khoảng 85-90% các trường hợp. Tế bào ung thư dạng này thường lớn hơn nhưng tiến triển chậm hơn so với tế bào ung thư phổi dạng SCLC.
Phương pháp điều trị bao gồm phẫu thuật, hóa trị, xạ trị và liệu pháp nhắm trúng đích. Tiên lượng sống của người bệnh ung thư phổi NSCLC thường cao hơn SCLC nếu được phát hiện và điều trị sớm.
Bệnh ung thư phổi được chia thành 4 giai đoạn dựa trên mức độ tiến triển và di căn của khối u. Cụ thể như sau:

Minh họa 4 giai đoạn ung thư phổi
Trong giai đoạn 1 của ung thư phổi, khối u còn nhỏ và giới hạn trong phổi, chưa lan đến hạch bạch huyết. Cụ thể:
Dấu hiệu ung thư phổi giai đoạn đầu thường không rõ ràng, nhưng có thể bao gồm ho kéo dài, đau ngực nhẹ hoặc khó thở nhẹ. Tất cả đều là những dấu hiệu ung thư phổi giai đoạn sớm cần được lưu tâm, bởi vì đây là lúc bệnh có khả năng được điều trị hiệu quả nhất.
Lưu ý, hầu hết các triệu chứng ung thư phổi giai đoạn 1 thường bị nhầm lẫn với các bệnh hô hấp thông thường. Do đó, việc đặt lịch thăm khám và tư vấn với bác sĩ là rất quan trọng để được chẩn đoán chính xác.
Ở giai đoạn 2, khối u lớn hơn và có thể đã lan đến hạch bạch huyết gần phổi. Giai đoạn này được chia thành IIA và IIB, tùy thuộc vào kích thước khối u và tình trạng di căn. Cụ thể như sau:
Triệu chứng ung thư phổi giai đoạn 2 trở nên rõ ràng hơn, bao gồm ho ra máu, khó thở tăng lên, đau ngực rõ rệt và mệt mỏi. Việc phát hiện và điều trị ở giai đoạn này vẫn có cơ hội tốt, nhưng cần hành động nhanh chóng.
Giai đoạn 3 ung thư phổi cho thấy khối u đã lan rộng hơn, ảnh hưởng đến các hạch bạch huyết xa hơn và có thể xâm lấn các cấu trúc lân cận trong ngực. Giai đoạn này được chia thành IIIA, IIIB và IIIC tùy thuộc vào kích thước khối u và mức độ lan rộng:
Triệu chứng ung thư phổi giai đoạn 3 bao gồm ho nặng, đau ngực liên tục, khó nuốt, khàn giọng và giảm cân không rõ nguyên nhân. Điều trị ở giai đoạn này phức tạp hơn và thường kết hợp nhiều phương pháp như hóa trị, xạ trị và phẫu thuật.
Trong giai đoạn 4, ung thư phổi đã di căn đến các bộ phận khác của cơ thể như xương, gan hoặc não, nên đây còn được gọi là giai đoạn ung thư phổi di căn. Hiểu cách khác, nếu bác sĩ kết luận bạn có dấu hiệu ung thư phổi di căn xương hoặc ung thư phổi di căn não, điều đó cũng đồng nghĩa với việc bạn đang trong giai đoạn 4 của ung thư phổi (tức giai đoạn cuối)
Dấu hiệu ung thư phổi giai đoạn cuối hay triệu chứng ung thư phổi giai đoạn 4 có thể bao gồm đau xương, đau đầu, vàng da và suy giảm chức năng đa cơ quan. Tiên lượng sống còn ở giai đoạn này ở mức tương đối thấp, và điều trị chủ yếu nhằm giảm triệu chứng và cải thiện chất lượng cuộc sống.

Ung thư phổi có thể di căn đến gan – cơ quan nằm gần phổi
Theo các số liệu báo cáo từ Tổ chức Y tế Thế giới (WHO), ung thư phổi là loại ung thư nguy hiểm nhất và là nguyên nhân hàng đầu gây tử vong do ung thư trên toàn thế giới, với khoảng 2.480.000 ca mắc mới và 1.817.469 trường hợp tử vong chỉ trong năm 2022.
Ung thư phổi thường tiến triển âm thầm, với các triệu chứng không rõ ràng ở giai đoạn đầu, dẫn đến việc phát hiện và điều trị muộn, từ đó làm tăng nguy cơ tử vong.
Nhìn chung, tiên lượng sống còn của người bệnh ung thư phổi phụ thuộc nhiều vào giai đoạn bệnh được phát hiện, loại ung thư (tế bào nhỏ hay không tế bào nhỏ) và tình trạng sức khỏe cá nhân mỗi người.
Cụ thể, theo Viện Ung thư Quốc gia Hoa Kỳ (NCI), ước lượng về tỷ lệ sống còn sau 5 năm của từng giai đoạn ung thư phổi được trình bày chi tiết trong bảng sau:
| Giai đoạn | Ung thư phổi không tế bào nhỏ (NSCLC) | Ung thư phổi tế bào nhỏ (SCLC) |
| Giai đoạn 1 | 65% | 30% |
| Giai đoạn 2 – 3 | 37% | 18% |
| Giai đoạn 4 | 9% | 3% |
| Trung bình các giai đoạn | 28% | 7% |
Bệnh ung thư phổi thường không di truyền, nhưng yếu tố di truyền có thể góp phần tăng nguy cơ mắc bệnh trong một số trường hợp. Theo nghiên cứu, các đột biến di truyền từ gia đình ở các mã gen EGFR, KRAS, MET, LKB1, BRAF, PIK3CA… có thể làm tăng nguy cơ phát triển ung thư phổi, đặc biệt khi kết hợp với các yếu tố môi trường như hút thuốc lá hoặc tiếp xúc với các hóa chất gây ung thư. Tuy nhiên, trong hầu hết trường hợp, ung thư phổi là do lối sống và môi trường hơn là do di truyền.
Hiện không có cách nào để bạn có thể kiểm tra ung thư phổi tại nhà một cách chính xác tuyệt đối. Tuy nhiên, điều mà bạn có thể làm là theo dõi các triệu chứng như ho kéo dài, khó thở, đau ngực, ho ra máu hoặc sụt cân không rõ nguyên nhân (nếu có).
Khi nhận thấy các dấu hiệu này kéo dài hơn 2 tuần hoặc tiến triển nặng dần theo thời gian, bạn nên đến bệnh viện để được bác sĩ khám và làm các xét nghiệm chuyên sâu như chụp X-quang, chụp CT hoặc sinh thiết để chẩn đoán bệnh chính xác hơn.
Một số phương pháp chẩn đoán ung thư phổi được sử dụng phổ biến hiện nay bao gồm:

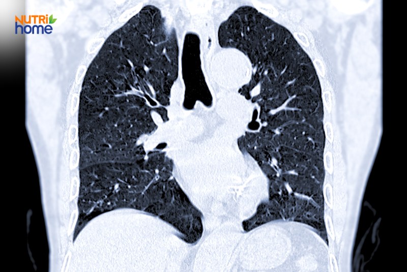
Ảnh chụp CT phổi có thể giúp tầm soát bệnh ung thư phổi
Ung thư phổi có thể chữa được nếu phát hiện sớm, khi khối u chưa lan rộng. Ở giai đoạn đầu, phẫu thuật, xạ trị hoặc hóa trị có thể giúp chữa khỏi hoàn toàn. Tuy nhiên, ở giai đoạn muộn khi ung thư đã di căn, việc điều trị thường chỉ dừng lại ở việc kiểm soát triệu chứng, cải thiện chất lượng cuộc sống và kéo dài tuổi thọ hết mức có thể.
Tóm lại, hiệu quả điều trị ung thư phổi phụ thuộc vào loại ung thư, giai đoạn bệnh khi được phát hiện và tình trạng sức khỏe cá nhân của mỗi người.
Các phương pháp chính để điều trị ung thư phổi hiện nay là:
Trên thực tế, việc lựa chọn phương pháp điều trị tối ưu là điều sẽ được cân nhắc bởi bác sĩ, tùy thuộc vào phân loại ung thư (tế bào nhỏ hoặc không nhỏ), mức độ di căn và thể trạng cá nhân của mỗi người bệnh.
Phòng ngừa và chăm sóc bệnh nhân ung thư phổi tại nhà cần tập trung vào chế độ ăn uống và sinh hoạt lành mạnh. Theo đó, mỗi người bệnh nên:
Tuy không thể giúp phòng ngừa hoàn toàn, nhưng việc duy trì lối sống lành mạnh, tránh tiếp xúc với các yếu tố nguy cơ như thuốc lá và ô nhiễm không khí có thể giúp giảm thiểu nguy cơ mắc bệnh này.

Bỏ hút thuốc là điều kiện quan trọng hỗ trợ phòng ngừa ung thư phổi
Bạn nên đi khám bác sĩ nếu có các dấu hiệu nghi ngờ ung thư phổi như ho kéo dài, khó thở, đau ngực, ho ra máu, hoặc sụt cân không rõ nguyên nhân.
Tuy nhiên, ngay cả khi không có triệu chứng, việc tầm soát ung thư phổi định kỳ vẫn là điều quan trọng, đặc biệt đối với những người thuộc nhóm nguy cơ cao (người hút thuốc, làm việc trong môi trường ô nhiễm,…). Bởi lẽ, tầm soát định kỳ giúp phát hiện bệnh sớm và tăng cơ hội điều trị thành công.
Tại chuyên khoa Hô Hấp trực thuộc Hệ thống Bệnh viện Đa khoa Tâm Anh, chúng tôi tự hào sở hữu máy nội soi phế quản ống mềm Olympus EVIS X1 CV-1500, mang đến khả năng phát hiện sớm các bệnh lý phổi như ung thư phổi, viêm phổi và nhiều bệnh về phổi và bệnhhô hấp khác. Công nghệ này không chỉ giúp chẩn đoán chính xác mà còn tạo cảm giác thoải mái hơn cho bệnh nhân, giảm thiểu đau đớn và biến chứng trong quá trình thăm khám.
Bên cạnh đó, bệnh viện còn được trang bị hệ thống phẫu thuật nội soi 3D/4K ICG Rubina, một công nghệ tiên tiến giúp bác sĩ phẫu thuật với độ chính xác cao trong các ca ung thư phổi, giảm thiểu rủi ro và tổn thương cho các mô lành.
Để đặt lịch tầm soát ung thư phổi tại Hệ thống Bệnh viện Đa khoa Tâm Anh, bạn có thể gọi đến số hotline 093 180 6858 – 028 7102 6789 (TP.HCM) hay 024 7106 6858 – 024 3872 3872 (Hà Nội).
Tóm lại, ung thư phổi là một căn bệnh nguy hiểm, nhưng với sự tiến bộ của y học hiện đại, việc chẩn đoán sớm và điều trị hiệu quả đã trở nên khả quan hơn. Vì thế, tầm soát định kỳ và chú ý đến các dấu hiệu bất thường là điều cần thiết để bảo vệ sức khỏe của phổi một cách tối ưu.