Viêm xung huyết hang vị dạ dày có thể dẫn đến nhiều biến chứng nguy hiểm nếu không được chẩn đoán và điều trị kịp thời. Vì thế, việc nhận biết sớm các dấu hiệu và hiểu rõ nguyên nhân gây bệnh là điều vô cùng quan trọng để bảo vệ sức khỏe dạ dày. Vậy, viêm xung huyết hang vị dạ dày là gì? Nguyên nhân gây viêm hang vị xung huyết đến từ đâu? Triệu chứng xung huyết hang vị ra sao? Tất cả sẽ được Trung tâm Dinh dưỡng Nutrihome tìm hiểu ngay trong bài viết sau.

Viêm xung huyết hang vị dạ dày là gì?
Viêm xung huyết hang vị dạ dày hay còn gọi là viêm xung huyết niêm mạc hang vị, là tình trạng các mạch máu trong niêm mạc dạ dày bị viêm nhiễm đến mức sưng đỏ và tắc nghẽn. Điều này khiến chúng dễ bị vỡ, gây ra tình trạng bầm tím hoặc chảy máu thường xuyên.
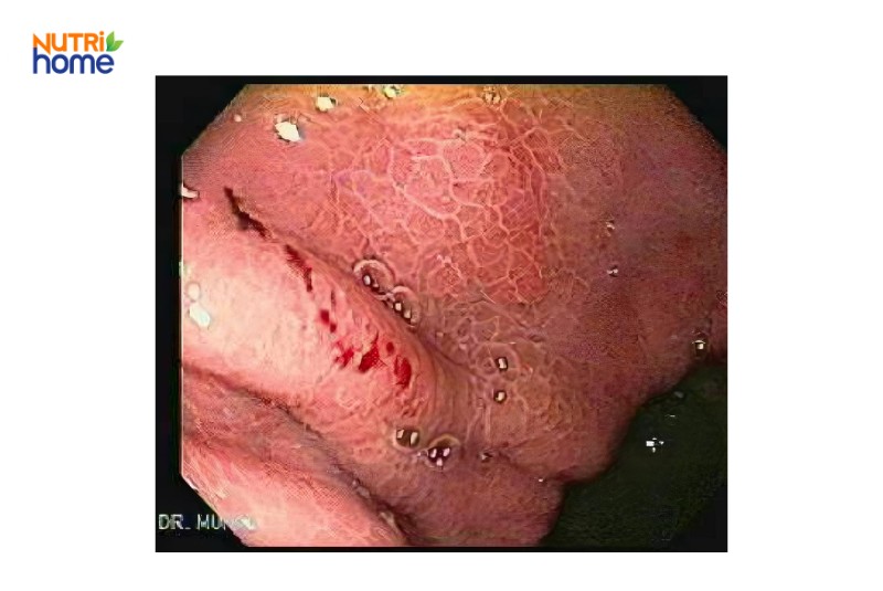
Trên niêm mạc dạ dày, tình trạng viêm xung huyết hang vị thường tạo ra các vùng tổn thương có hình dạng và màu sắc không đều nhau, được sắp xếp cạnh nhau theo một cách đặc biệt, nhìn giống như một bức tranh khảm (tranh ghép mảnh).
Bệnh viêm xung huyết hang vị dạ dày thường không có triệu chứng cho đến khi chúng gây xuất huyết dạ dày. Nếu có triệu chứng, dấu hiệu của viêm xung huyết hang vị dạ dày thường không đặc hiệu, dễ bị nhầm lẫn với triệu chứng của các bệnh lý dạ dày khác, chẳng hạn như:
Nếu có các triệu chứng nêu trên, đặc biệt là khi cơn đau kéo dài hoặc ngày càng nghiêm trọng, bạn nên đi khám bác sĩ để được chẩn đoán và điều trị kịp thời.

Minh họa hình ảnh viêm xung huyết hang vị dạ dày ở bệnh nhân xơ gan
Xung huyết dạ dày thường do sự ứ đọng máu trong các mạch máu nhỏ ở niêm mạc dạ dày. Nguyên nhân chính gây ra tình trạng này thường liên quan đến các vấn đề về tuần hoàn máu, đặc biệt là:

Tăng áp lực ở tĩnh mạch cửa do xơ gan là nguyên nhân phổ biến gây xung huyết hang vị dạ dày
Đối tượng dễ mắc viêm xung huyết niêm mạc hang vị (congestive gastropathy) thường liên quan đến các yếu tố nguy cơ gây rối loạn tuần hoàn máu hoặc tăng áp lực tĩnh mạch cửa. Cụ thể bao gồm:
Viêm xung huyết hang vị có thể nguy hiểm nếu không được điều trị kịp thời. Nếu tình trạng này kéo dài, nó có thể dẫn đến các biến chứng như loét dạ dày, xuất huyết tiêu hóa (chảy máu trong dạ dày) và thiếu máu do mất máu vi mô.
Viêm xung huyết dạ dày là nguyên nhân thường gặp gây xuất huyết tiêu hóa ở người bệnh xơ gan. Theo ước tính, có đến 10 – 20% các đợt xuất huyết đường tiêu hóa xảy ra ở bệnh nhân xơ gan là do bị viêm xung huyết hang vị dạ dày.
Đồng thời, đây cũng là nguyên nhân khiến chính 30% bệnh nhân xơ gan có biến chứng tăng áp lực tĩnh mạch cửa bị chảy máu cấp tính, 90% bị xuất huyết mãn tính trong khoảng thời gian theo dõi trung bình là 4 năm.
Mặt khác, tình trạng viêm xung huyết kéo dài có thể làm tăng nguy cơ phát triển thành ung thư dạ dày, đặc biệt là khi có sự hiện diện của vi khuẩn Helicobacter pylori.
Vì thế, tầm soát kịp thời, điều trị sớm và kiểm soát các yếu tố nguy cơ là rất quan trọng để ngăn ngừa các biến chứng nguy hiểm nêu trên.

Viêm xung huyết có thể dẫn đến loét và chảy máu trong dạ dày
Chẩn đoán bệnh viêm xung huyết hang vị dạ dày chủ yếu được thực hiện qua phương pháp nội soi dạ dày.
Nội soi là một kỹ thuật y khoa sử dụng một ống mềm có gắn camera và đèn chiếu sáng ở đầu (gọi là ống nội soi) để quan sát trực tiếp bên trong dạ dày và các cơ quan tiêu hóa khác.
Trong quá trình nội soi, bác sĩ có thể nhìn thấy trực tiếp các tổn thương, tình trạng viêm và xung huyết ở niêm mạc hang vị. Điều này giúp chẩn đoán chính xác mức độ viêm, phát hiện các vết loét và đánh giá tình trạng chảy máu nếu có.
Nội soi cũng cho phép bác sĩ lấy mẫu mô (sinh thiết) để kiểm tra thêm nếu cần thiết.
Điều trị viêm xung huyết hang vị dạ dày tập trung vào hai hướng chính:
Nhìn chung, việc điều trị bệnh niêm mạc hang vị xung huyết cần được thực hiện dưới sự giám sát của bác sĩ để đảm bảo hiệu quả và an toàn.
Xung huyết hang vị dạ dày và đều là xuất huyết hang vị dạ dày những tình trạng ảnh hưởng đến niêm mạc hang vị dạ dày, nhưng chúng có những đặc điểm và nguyên nhân riêng biệt.
| Tiêu chí | Xung huyết hang vị dạ dày | Xuất huyết hang vị dạ dày |
| Định nghĩa | Tình trạng ứ máu trong các mạch máu của niêm mạc dạ dày, dẫn đến sưng viêm và gây vỡ mạch máu. | Tình trạng niêm mạc dạ dày bị tổn thương từ bên ngoài, gây loét, khiến mạch máu dưới niêm mạc bị vỡ, làm xuất huyết. |
| Nguồn gốc | Viêm nhiễm và tắc nghẽn xuất phát từ bên trong mạch máu | Yếu tố gây viêm xuất phát từ ngoài mạch máu |
| Triệu chứng | Đau hoặc khó chịu ở vùng bụng trên, buồn nôn, đầy hơi. | Nôn ra máu, đi ngoài phân đen, chóng mặt, mệt mỏi do mất máu. |
| Chảy máu | Có thể không chảy máu hoặc các dấu hiệu chảy máu rõ rệt. | Có chảy máu rõ rệt, có biểu hiện thông qua việc nôn ra máu hoặc đi ngoài phân đen. |
| Tiên lượng | Tốt nếu được điều trị và quản lý nguyên nhân gốc rễ. | Xuất huyết cấp tính có thể gây nguy hiểm, cần được cấp cứu kịp thời. |
Sự khác biệt chính:
Để phòng ngừa và chăm sóc người bị xung huyết hang vị tại nhà, bạn cần lưu ý:
Căng thẳng làm tăng tiết axit dạ dày, có thể gây kích ứng và làm tình trạng viêm xung huyết trở nên nghiêm trọng hơn.
Vì thế, để phòng ngừa và hỗ trợ điều trị, người bệnh nên hạn chế căng thẳng bằng cách làm việc vừa sức, ngủ đủ giấc, tăng cường vận động, tích cực tham gia các hoạt động giải trí hoặc thư giãn nhẹ nhàng như đọc sách, nghe nhạc, thiền, yoga,…
Tránh dùng thuốc chống viêm không steroid (NSAIDs) vì những loại thuốc này có thể làm tăng nguy cơ xói mòn niêm mạc dạ dày, dẫn đến biến chứng xuất huyết.
Thường xuyên lắng nghe cơ thể và theo dõi các dấu hiệu tiến triển nặng của bệnh, như đau bụng nặng hơn, nôn ra máu hoặc đi ngoài phân đen. Thông báo ngay cho bác sĩ nếu có những triệu chứng này để được điều trị kịp thời và ngăn ngừa biến chứng.
Uống thuốc đúng liều lượng và thời gian theo chỉ định của bác sĩ giúp kiểm soát các triệu chứng và ngăn ngừa biến chứng khi hang vị niêm mạc xung huyết.

Người bệnh cần tuân thủ theo đúng hướng dẫn từ bác sĩ để điều trị bệnh hiệu quả
Bạn nên đi khám bác sĩ ngay khi có các triệu chứng bất thường như đau bụng kéo dài, khó tiêu, buồn nôn, nôn mửa, chán ăn, đầy hơi hoặc xuất hiện các dấu hiệu nghiêm trọng như nôn ra máu hoặc đi ngoài phân đen.
Đặc biệt, nếu các triệu chứng này không thuyên giảm khi thay đổi lối sống hoặc sau khi dùng thuốc không kê đơn, bạn cần thăm khám bác sĩ để được chẩn đoán và điều trị kịp thời.
Nếu có nhu cầu thăm khám sức khỏe hang vị dạ dày, bạn hãy cân nhắc đến chuyên khoa Tiêu hóa – Gan – Mật – Tụy thuộc Hệ thống Bệnh viện Đa khoa Tâm Anh.
Tại đây, chúng tôi sở hữu nhiều hệ thống trang thiết bị hiện đại, điển hình như máy nội soi Olympus EVIS X1 (CV-1500) với hai loại ống nội soi là ống lớn và ống nhỏ.
Ống lớn được sử dụng trong các thủ thuật phức tạp, có thể đưa các thiết bị y tế can thiệp như sinh thiết. Trong khi đó, ống nội soi cỡ nhỏ được ưu tiên trong các xét nghiệm chẩn đoán, dùng để nội soi thông qua đường mũi, giúp người bệnh cảm thấy thoải mái hơn so với sử dụng ống nội soi lớn.
Để đặt lịch tầm soát viêm xung huyết hang vị dạ dày tại Hệ thống Bệnh viện Đa khoa Tâm Anh, bạn có thể gọi đến số hotline 093 180 6858 – 028 7102 6789 (TP.HCM) hay 024 7106 6858 – 024 3872 3872 (Hà Nội).
Trên đây là những thông tin hữu ích xoay quanh bệnh viêm xung huyết hang vị dạ dày. Hy vọng thông qua bài viết, bạn đã hiểu rõ viêm xung huyết niêm mạc hang vị là gì, triệu chứng ra sao để kịp thời nhận biết và bảo vệ an toàn cho sức khỏe tiêu hóa.